В последнее время, из-за тесного взаимодействия с областным онкодиспансером, мы всё чаще оперируем метастазы в головной мозг.
Если ещё 10–15 лет назад хирургическое лечение рассматривалось при наличии не более 1–2 метастазов, то сегодня возможно одномоментное удаление 5–6 очагов.
Современные схемы лучевой и химиотерапии позволяют в ряде случаев добиться ремиссии онкологического процесса.
Этот случай — из архива, но он показателен.
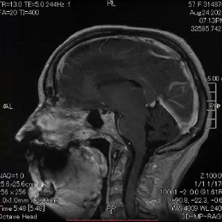
Рецидив метастаза рака молочной железы в зоне предыдущего удаления.
Вообще, после радикального удаления метастазы редко появляются в том же месте. Но не всегда.
Выраженный перифокальный отёк мозга привёл к грубому гемипарезу.
После удаления очага неврологический дефицит практически полностью регрессировал.
Иногда даже при агрессивном течении заболевания вмешательство даёт пациенту не просто время, а качество жизни. На видео - МРТ до и после удаления.




