Установка игл Джамшиди перед вертебропластикой
Фото установки игл Джамшиди в тело позвонка перед пункционной вертебропластикой: проколы кожи, рентген‑контроль и последующее введение костного цемента.

Я — нейрохирург и делюсь живыми случаями из операционной и поликлиники: от боли в спине и «защемлённого» нерва до опухолей головного мозга. Пишу простыми словами о симптомах, диагностике, тактике и том, как вернуть качество жизни. Здесь — редкие решения, практические выводы и честный взгляд врача на медицину и боль.
Фото установки игл Джамшиди в тело позвонка перед пункционной вертебропластикой: проколы кожи, рентген‑контроль и последующее введение костного цемента.

Кратко о эндоскопической декомпрессии при синдроме запястного канала: малотравматично, быстрое восстановление и практически незаметный рубец.

Краткая заметка нейрохирурга: каверномы иногда уменьшаются после кровоизлияния, но риск рецидива >30%; радикальное удаление субкортикальных симптомных каверном.

Импланты межостистой фиксации Ромео, установленные более 12 лет назад; стеноз выше фиксации. Выполнена декомпрессия over the top без доп. фиксации, отличный результат.

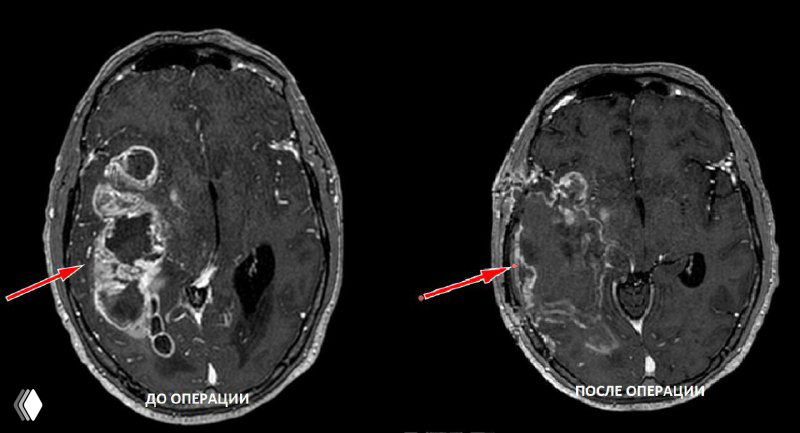
Глиобластома часто протекает скрыто и может достигать больших размеров; на снимках — опухоль, заполняющая более половины правого полушария.

Редкая причина компрессии локтевого нерва в канале Гийона — крупная гигрома сухожилия локтевого сгибателя запястья; интраоперационные фото.

Кейс нейрохирургии: эндоскопическое удаление металлического осколка из грудного отдела позвоночника — рентген, входной разрез, извлечённые фрагменты и эндоскопия.

Около 36 млн эпидуральных анестезий в мире; на снимках — эпидуральная киста после повторных анестезий, вызвавшая стойкие нейропатические боли.

Краткий обзор причин удаления неугрожающих жизни осколков: хроническая боль, миграция, невозможность МРТ; автор — нейрохирург о пользе удаления.

Краткое объяснение: в составе «маленькой» грыжи может быть плотная замыкательная пластинка, почти не резорбирующаяся и давящая на корешок.

Истинная компрессия седалищного нерва встречается редко; чаще виноваты корешки в позвоночном канале. На фото — нерв после декомпрессии.

Кейс о шунт-зависимой пациентке: система ликворного шунта и образование петли в перитонеальной части дренажа.
