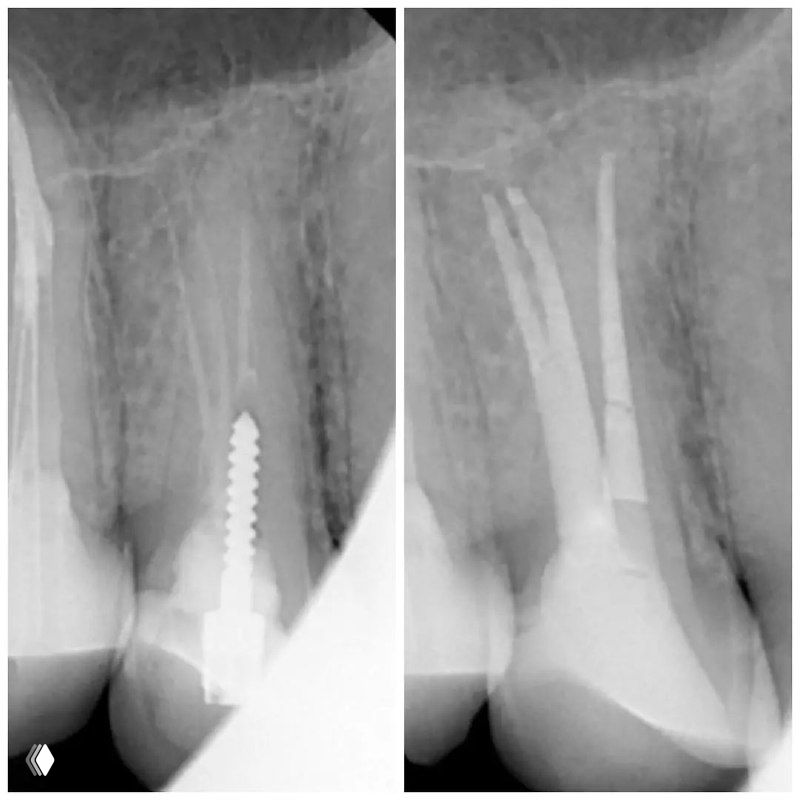
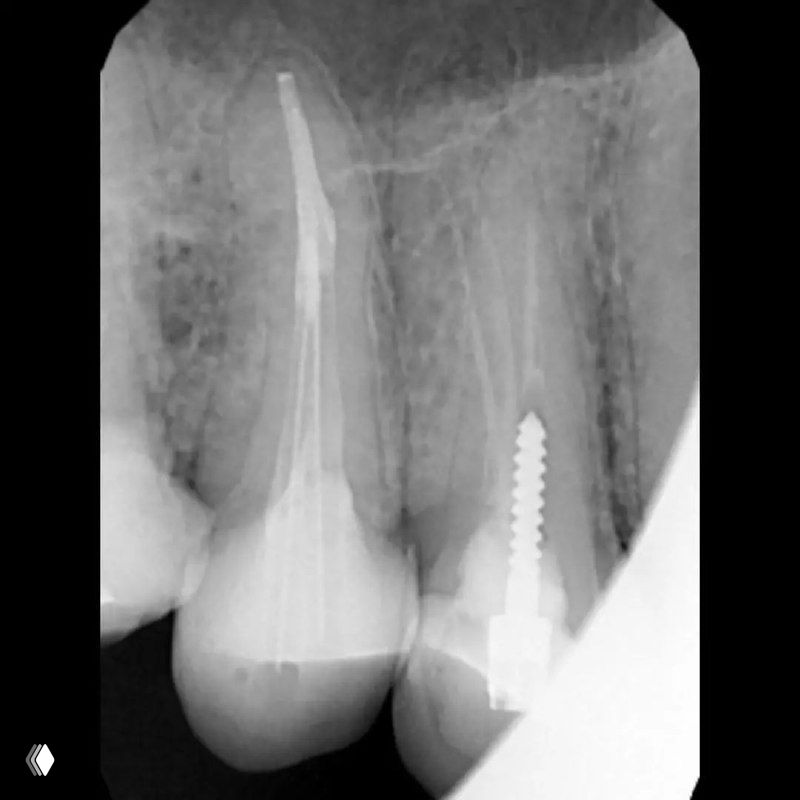
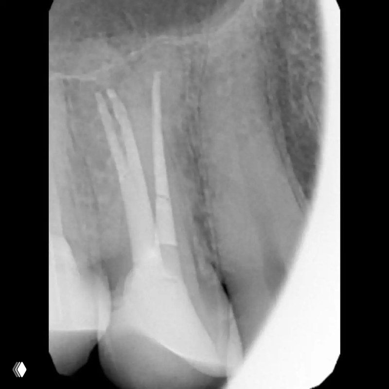
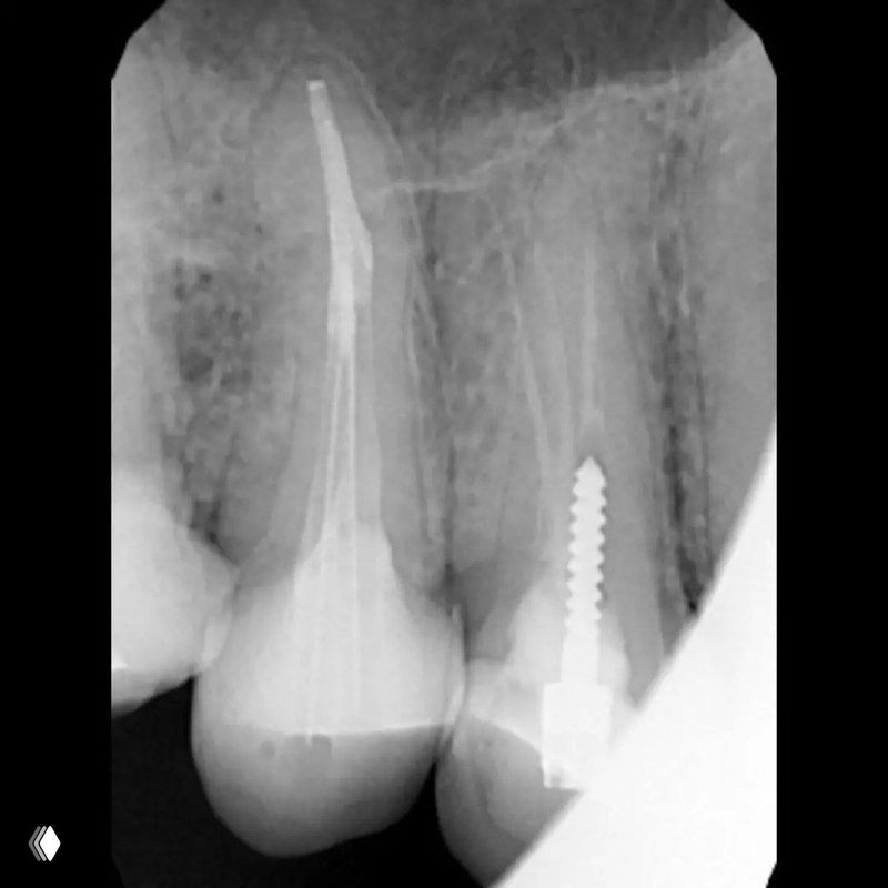
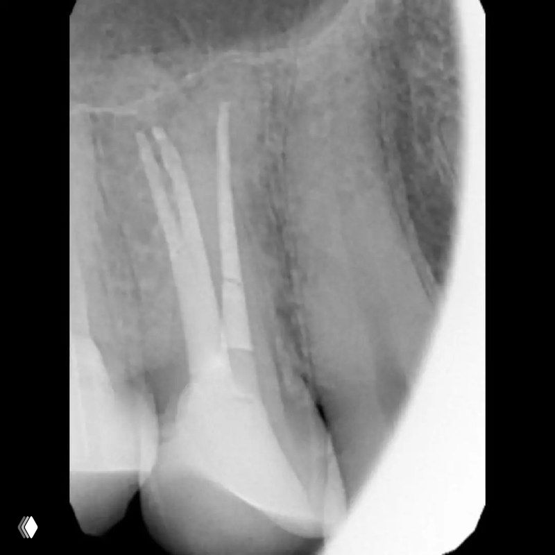
Распространенность: 1 премоляр вч - 3.2%, 2 премоляр вч - 0.4%
На что обратить внимание:
- классическую овальную полость доступа нужно немного расширить в области щёчных каналов в мезио-дистальном направлении
- проводить аккуратное расширение щёчных каналов, так как в области данных корней очень мало дентина (в моём случае расширение 25.04)
- аккуратно латералить без лишнего давления, а для вертикалки использовать самые тонкие плаггеры. А в идеале сделать гибрид.









Дискуссия